top of page
FIRST TIME IN M.P
PAINLESS, TOUCHLESS TEETH CLEANING

Teeth Cleaning without the Fear of Pain
At Cure One Dental Clinic, Idgah Hills, Bhopal, we are proud to introduce Madhya Pradesh’s first touchless teeth cleaning using Airstream Biofilm Clearance technology. This advanced, painless dental cleaning method gently removes plaque, stains, and biofilm without direct scraping or discomfort, ensuring maximum oral hygiene with minimal sensitivity.


No Scratches and no Damage to Enamel
Our touchless Airstream procedure is ideal for patients of all ages, providing a safe, fast, and comfortable cleaning experience while protecting your enamel and gums. This cutting-edge technology reflects our commitment to innovative, patient-friendly dental care and sets Cure One Dental Clinic apart as a leader in dental innovation in Bhopal and Madhya Pradesh.
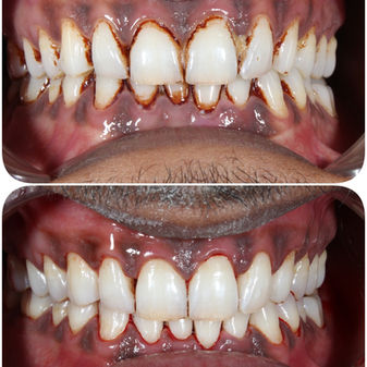
Few Cases done with
Touchless- Painless Teeth Cleaning

bottom of page






